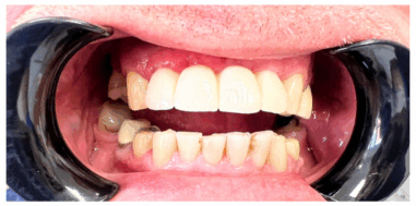
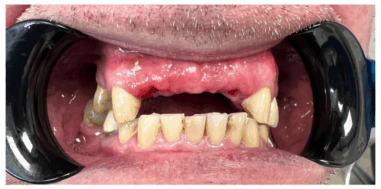
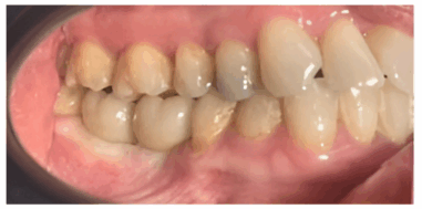
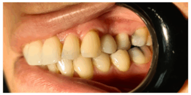
Dental implants are small titanium posts that are placed into your jawbone to act as artificial tooth roots.

Once the implant integrates with the bone, a crown, bridge, or denture is attached, restoring the function and appearance of your natural teeth.

How Do Dental Implants Work?

  1. Consultation & Assessment: Your dentist evaluates your oral health and discusses your goals.
  2. Digital Planning: Using advanced imaging and digital technology, we plan the precise placement of your implant.
  3. Implant Placement: The Implant Swiss post is carefully inserted into your jawbone under local anaesthetic.
  4. Healing Period: Over a few months, the implant fuses with the bone (osseointegration).
  5. Restoration: A custom-made crown, bridge, or denture is attached to complete your new smile.

Benefits of Dental Implants

  • Natural appearance: Restores the look of your original teeth.
  • Improved function: Eat, speak, and smile with confidence.
  • Durable and long-lasting: Implant Swiss technology ensures reliability.
  • Preserves jawbone: Prevents bone loss that can occur after missing teeth.
  • Comfortable & stable: Unlike removable dentures, implants stay securely in place.

Who Can Get Dental Implants?

Dental implants are suitable for most adults with good oral and general health. Bone levels are assessed to ensure implant stability. If necessary, bone grafting can be done to support implant placement.

Treatment Timeline

  • Consultation and planning: 1–2 appointments.
  • Implant placement: Usually under local anaesthetic.
  • Healing and integration: 3–6 months.
  • Crown or denture placement: Final restoration fitted once healing is complete.

Cost and Payment Options

We offer flexible finance options with Tabeo, allowing you to spread the cost of dental implants over up to 5 years. Membership plans may also provide savings on check-ups and maintenance.

Why Choose Heralds Way Dental Clinic for Implants?

  • Experienced dentists using Implant Swiss for reliable results
  • Modern digital planning for precise placement
  • Friendly, supportive team for nervous patients
  • Accessible practice with wheelchair-friendly facilities

Ready to Restore Your Smile?

For more information regarding What Are Dental Implants?

Contact us OR CALL US 01245 322 277
BACK TO Dental Implants

GET IN TOUCH

To speak with a member of our team to arrange or cancel an appointment or to make an enquiry as a new or existing patient, please get in touch.

TREATMENTS

We love our patients

google icon

I have had a tooth removed today, which has been giving me pain on and off all through lockdown. I want to thank Mr Ahmed and all the staff at the surgery for their assistance and professionalism. How...

I have been at this practice for many years and can only say positive things about it. Mrs Gould is my dentist there, and together with Sally, her nurse has always given first-class treatment. The Receptionists are always...

I recently joined Heralds Way, and everyone has been so friendly. When booking an appointment, they have given me many options to fit around my schedule. My dentist was lovely, explaining everything in great detail and being thoroughly...

Really nice practice. Receptionists helpful and welcoming. Cara the hygienist is so gentle and caring. Have seen two dentists so far. Both thorough, and seem to genuinely value you as a patient. Makes for a very pleasant experience....

Lovely service — everyone is super friendly. I can’t remember the name of our dentist, but she’s fantastic with all of us, especially our little girls (they’re not scared of the dentist anymore!). Cara, the hygienist, is incredibly...

I am a regular patient, and I always receive a friendly, positive and polite experience with the lovely receptionists. Tracy, in particular, has always been smiling and extremely courteous. The dentists are very professional, with good advice and...

I have been attending Heralds Way for nearly 3 years and have always had a great experience. The staff and dentists are so lovely and friendly and put my anxious daughter at ease. Highly recommend.

Helpful and a lovely Dentist. I moved to this clinic fairly recently, so this is only my second visit. However, my impressions are very positive so far. I am particularly pleased that the clinic has opened a separate...

star icon
READ MORE
Google Rating
4.9
Google Rating
Google Widget

instagram instagram Instagram

Want to stay updated on our latest news, products, and events? Follow us on Instagram. Don't miss out on all the fun and exciting content we have in store for you!

FOLLOW US ON INSTAGRAM

Opening Hours

MONDAY
08:30 - 17:30
TUESDAY
08:30 - 17:30
WEDNESDAY
08:30 - 17:30
THURSDAY
09:00 - 17:30
FRIDAY
09:00 - 17:30
SATURDAY
By Appointment

Location