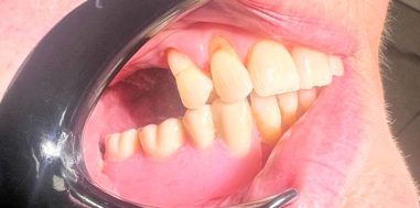
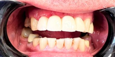
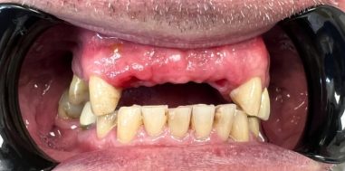
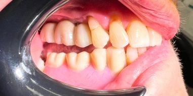
Dental implants are a permanent tooth replacement method that closely resembles natural teeth.

Not only is the top portion replaced, but also the root that securely holds the tooth in place.

The ‘root’ is made of titanium and is designed to fuse with the jawbone, providing a secure foundation. Dental implants often look, feel and function like natural teeth.

Dental implants can often replace a single tooth, several teeth, or all of your missing teeth or help retain bridges and dentures.

Implants are made from titanium, a biocompatible material that can form a strong bond with living bone tissue. The bone tissue grows onto the implant’s surface, a process called osseointegration and biointegration. You may hear us use these terms.

When fixed firmly within the jawbone, the implant will be strong enough to withstand the daily forces of chewing and normal function. If it fails to integrate with the jawbone, it will not be strong enough to withstand the chewing forces and will require removal.

The number of implants inserted will depend on the prosthesis. For example, one implant replaces one missing tooth, while six implants may be needed for a complete upper prosthesis with 12 artificial teeth.

FAQs

How does it work?

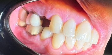
To place an implant, we make an incision to open your gums. Then, using special techniques and instruments, the implant will be inserted into the jawbone.

The incision will be closed around a ‘healing abutment’ or completely closed with sutures. The bone surrounding the implant can take up to 3 months to heal.

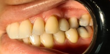
We will test the implant to see if it has properly integrated with the bone. This is important because the implants must be strong enough to support the prosthesis and withstand the forces of chewing and normal function. If the implants are successful, we will proceed with the fabrication of the prosthesis. The prosthesis may be fixed to the implant using cement or screws, making it non-removable. Alternatively, it may be attached in a way that allows for easy removal for cleaning. These are called over-dentures.

Cleanliness is crucial. Implants, prostheses, gums and remaining teeth must be cleaned daily to avoid dental plaque. Constant attention to cleanliness will improve the chances of the implants being successful.

Implant hygiene is a lifelong commitment for you, as the patient, and for us, as your dental team.

What are some benefits of dental implants?

Benefits of dental implants

  • An improved facial appearance helps preserve the integrity of the facial structure.
  • Improved Comfort by eliminating irritation of the removable prosthesis.
  • Eat better by restoring chewing efficiency.
  • Smile confidently, knowing your teeth won’t fall out or pop out.
  • Protect your remaining teeth, knowing that implants do not need to interfere with them.

For more information regarding Implants

Contact us OR CALL US 01245 322 277
BACK TO Dental Implants

GET IN TOUCH

To speak with a member of our team to arrange or cancel an appointment or to make an enquiry as a new or existing patient, please get in touch.

TREATMENTS

We love our patients

google icon

I have had a tooth removed today, which has been giving me pain on and off all through lockdown. I want to thank Mr Ahmed and all the staff at the surgery for their assistance and professionalism. How...

I have been at this practice for many years and can only say positive things about it. Mrs Gould is my dentist there, and together with Sally, her nurse has always given first-class treatment. The Receptionists are always...

I recently joined Heralds Way, and everyone has been so friendly. When booking an appointment, they have given me many options to fit around my schedule. My dentist was lovely, explaining everything in great detail and being thoroughly...

Really nice practice. Receptionists helpful and welcoming. Cara the hygienist is so gentle and caring. Have seen two dentists so far. Both thorough, and seem to genuinely value you as a patient. Makes for a very pleasant experience....

Lovely service — everyone is super friendly. I can’t remember the name of our dentist, but she’s fantastic with all of us, especially our little girls (they’re not scared of the dentist anymore!). Cara, the hygienist, is incredibly...

I am a regular patient, and I always receive a friendly, positive and polite experience with the lovely receptionists. Tracy, in particular, has always been smiling and extremely courteous. The dentists are very professional, with good advice and...

I have been attending Heralds Way for nearly 3 years and have always had a great experience. The staff and dentists are so lovely and friendly and put my anxious daughter at ease. Highly recommend.

Helpful and a lovely Dentist. I moved to this clinic fairly recently, so this is only my second visit. However, my impressions are very positive so far. I am particularly pleased that the clinic has opened a separate...

star icon
READ MORE
Google Rating
4.9
Google Rating
Google Widget

instagram instagram Instagram

Want to stay updated on our latest news, products, and events? Follow us on Instagram. Don't miss out on all the fun and exciting content we have in store for you!

FOLLOW US ON INSTAGRAM

Opening Hours

MONDAY
08:30 - 17:30
TUESDAY
08:30 - 17:30
WEDNESDAY
08:30 - 17:30
THURSDAY
09:00 - 17:30
FRIDAY
09:00 - 17:30
SATURDAY
By Appointment

Location