Home whitening is a safe and cost-effective way to achieve the smile you’ve always wanted.

How it works

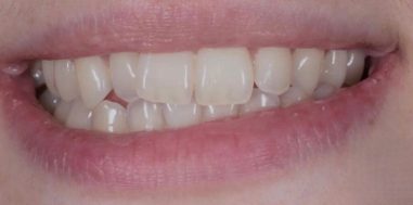
After a thorough oral examination and foundational gum health, precise moulds of your upper and lower teeth are taken, from which slim bleaching trays are made. These trays are then used to deliver the whitening gel to your teeth. Results of home whitening can vary from person to person and depend on the nature and severity of the staining. The average time for noticeable results is 2-3 weeks.

The effects of the home whitening process can last for several months. Still, lifestyle factors, such as smoking, eating and drinking highly coloured foods and liquids, play a significant role in the formation of new stains. However, as the trays have been fabricated to fit your teeth exactly, they can be reused at any time, provided they fit well.

Some sensitivity is normal during the use of either whitening procedure. This can occur due to receding gums, tooth wear, and tiny cracks in the top layer of the teeth (enamel). This sensitivity is transient and generally lasts no longer than a day or two. Specific toothpastes and products are available to help with any low-grade sensitivity experienced.

For more information regarding Teeth Whitening

Contact us OR CALL US 01245 322 277
BACK TO Cosmetic Dentistry

GET IN TOUCH

To speak with a member of our team to arrange or cancel an appointment or to make an enquiry as a new or existing patient, please get in touch.

TREATMENTS

We love our patients

google icon

I have had a tooth removed today, which has been giving me pain on and off all through lockdown. I want to thank Mr Ahmed and all the staff at the surgery for their assistance and professionalism. How...

I have been at this practice for many years and can only say positive things about it. Mrs Gould is my dentist there, and together with Sally, her nurse has always given first-class treatment. The Receptionists are always...

I recently joined Heralds Way, and everyone has been so friendly. When booking an appointment, they have given me many options to fit around my schedule. My dentist was lovely, explaining everything in great detail and being thoroughly...

Really nice practice. Receptionists helpful and welcoming. Cara the hygienist is so gentle and caring. Have seen two dentists so far. Both thorough, and seem to genuinely value you as a patient. Makes for a very pleasant experience....

Lovely service — everyone is super friendly. I can’t remember the name of our dentist, but she’s fantastic with all of us, especially our little girls (they’re not scared of the dentist anymore!). Cara, the hygienist, is incredibly...

I am a regular patient, and I always receive a friendly, positive and polite experience with the lovely receptionists. Tracy, in particular, has always been smiling and extremely courteous. The dentists are very professional, with good advice and...

I have been attending Heralds Way for nearly 3 years and have always had a great experience. The staff and dentists are so lovely and friendly and put my anxious daughter at ease. Highly recommend.

Helpful and a lovely Dentist. I moved to this clinic fairly recently, so this is only my second visit. However, my impressions are very positive so far. I am particularly pleased that the clinic has opened a separate...

star icon
READ MORE
Google Rating
4.9
Google Rating
Google Widget

instagram instagram Instagram

Want to stay updated on our latest news, products, and events? Follow us on Instagram. Don't miss out on all the fun and exciting content we have in store for you!

FOLLOW US ON INSTAGRAM

Opening Hours

MONDAY
08:30 - 17:30
TUESDAY
08:30 - 17:30
WEDNESDAY
08:30 - 17:30
THURSDAY
09:00 - 17:30
FRIDAY
09:00 - 17:30
SATURDAY
By Appointment

Location