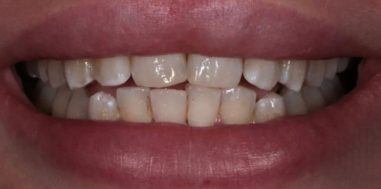
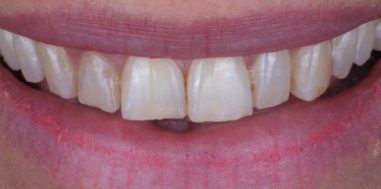
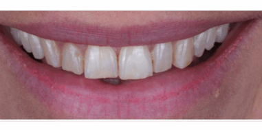
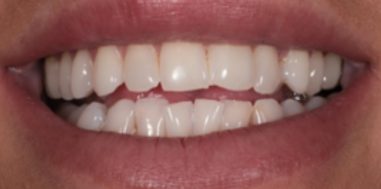
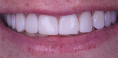
Composite bonding is a cosmetic dental treatment that places thin layers of tooth-coloured composite resin over the surface of the tooth to improve the appearance of your teeth seamlessly. It can fill cracks and gaps, repair broken teeth and improve discoloured teeth to create a natural-looking smile.
It usually requires no local anaesthetic and can be completed in just one appointment. Although it is technically a cosmetic treatment, repairing dental damage can help reduce the risk of dental infections.
The composite bonding treatment is a simple, effective, and pain-free procedure. We can treat a single tooth, several teeth, or all teeth. Before you proceed with your treatment, a trial smile will be given to ensure you are fully aware of what your new smile will look like.
